スタッフ紹介

Staff

白﨑 俊

理事長

白﨑 俊
しらさき しゅん

歯科医院に来院されるきっかけは、人それぞれです。

歯が痛い、見た目が気になる、検診をしてほしい…など、患者さん一人ひとりが何かしら悩みや不安を持って来院されます。

縁あって当院にお越しいただいた患者さんの悩みや不安を解消し、生涯にわたり長くお付き合いできるような、そんなクリニックでありたいと思っています。

人生100年時代を迎えようとしています。年齢を重ねても健康でいられるよう、また、ご自分の歯で食事を美味しく味わえるよう、歯の健康に関することはぜひ当院にお任せください。

経歴

1983年10月24日
東京生まれ
2012年3月
岡山大学歯学部歯学科卒業
2012年4月
香川大学医学部附属病院 卒後臨床研修センター
2013年4月
香川大学医学部附属病院 歯・顎・口腔外科 入局
2014年10月
香川大学医学部附属病院 麻酔科・ペインクリニック科 入局
2018年7月
医療法人なないろ歯科・こども矯正歯科クリニック 香川・多度津医院開業
2019年5月
医療法人なないろ歯科・こども矯正歯科クリニック なは・おもろまち医院開業

所属学会

UCLA School of Dentistry Continuing Dental Education

Harvard

Indiana Univercity

認定証 認定証

理事長症例

根管治療

根管治療

右下7自費根管治療をし残すことができた症例です。他院で抜歯と診断を受けても自費根管治療だと残すことができる場合があります。

根管治療の症例

根管治療の症例

左下6自費根菅治療の症例。

審美・美容歯科

審美・美容歯科

左下7 歯髄温存療法症例。露髄しても神経を残せる場合があります。

ジルコニアCr

ジルコニアCr

早く綺麗に治せる補綴を希望された症例。最終補綴が入るまでTEKが入っているので、治療開始から終わるまでも綺麗な歯の状態で過ごせます。

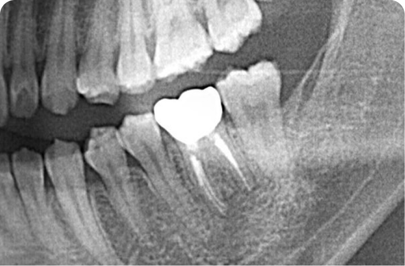
インプラントソケットリフト

インプラントソケットリフト

他院で骨が少なくインプラントはできないと言われた60代男性の症例です。骨造成〜インプラントsetまで6〜12ヶ月、回数は、最短4回(抜糸・OBS除く)です。

続きを見る

院長

國友 宗義
くにとも むねよし

わかりやすい説明と丁寧な治療を心がけること、なんでも気楽に相談できる、お話いただけるようコミュニケーションを大切にしながら日々診療を行っております。
歯を守るために1番大切なことは予防すること。
そのため理想とする予防歯科を行えるよう、大学卒業後は大学院にて予防歯科を専門に学びました。
医療は日々進歩しており、いろいろご提案できることも増えております。足を運んでいただけたら幸いです。

経歴

2013年3月
岡山大学歯学部歯学科 卒業
2013年4月
岡山大学病院卒後臨床研修センター(歯科)
2014年4月
岡山大学大学院医歯薬総合研究科予防歯科学分野 入学
2017年3月
岡山大学大学院医歯薬総合研究科予防歯科学分野 卒業
2022年4月
なないろ歯科こども矯正歯科クリニック勤務

所属学会

日本口腔衛生学会

摂食嚥下リハビリテーション学会

院長症例

奥歯の審美修復治療

奥歯の審美修復治療

右上6、7にセメント治療がされていましたが、むし歯の再発があり形態も不適合でした。むし歯の部分のみ最小限に削りコンポジットレジン(CR)を使って再度修復しています。自然な色に合わせて修復し周りの歯と見た目が自然に馴染むようにしています。

前歯の審美修復治療

前歯の審美修復治療

左上2にむし歯がありコンポジットレジン(CR)を使って修復しています。むし歯の範囲によっては歯を削る量を最小限にし審美的に修復することが可能になります。

神経保存治療

神経保存治療

左上6に神経まで広がるむし歯がありました。むし歯を取り除いた後MTAという特別な材料を直接神経の上に置いて保護し、詰め物をして治療を終了しました。神経まで広がるむし歯は神経を取る

続きを見る
近藤 知里

副院長

近藤 知里
こんどう ちさと

兵庫・芦屋医院オープン前は香川・多度津医院、那覇・おもろまち医院で勤務しておりました。今まで学んできた各医院の素敵な要素を詰め込んだクリニックにしたいと思っております。

法人として3医院目となる芦屋医院は『”あったらいいな” が、ここにある』という理念を掲げております。
”あったらいいな”とは患者さんが喜んでくれる事は何かを日々考え、患者さんの一番近くで治療の提案やサポートができればと思っております。

ぜひ一度お越しください。

大野 彩花

歯科衛生士

大野 彩花
おおの あやか

お口の健康は、生活の質に大きく影響します。

私たちは、患者さんがどんなことに不安を感じているのか、どんなサポートが必要なのかをしっかりとお聞きし、その声を大切にしています。

なないろ歯科・こども矯正歯科クリニックを通し、口腔ケアを維持できるよう、患者さんの健康を守り、良い日々を送っていただけるようお手伝いしています。何かございましたらお気軽にお声掛けください!

橋本 莉奈

歯科衛生士

橋本 莉奈
はしもと りな

みなさんは歯科クリニックはお好きですか?

多くの方は「怖い」「苦手」といったイメージをお持ちだと思います。私はその様なイメージを払拭し、「楽しく通える」「安心して通える」ように様々な工夫をしています。 緊張や不安で強張った表情から少しでも笑顔が見られる瞬間はとても嬉しく思います。

また来院いただいた際、何か1つでも「へぇ〜」と言って頂けるような情報提供を心がけています!

なないろ歯科・こども矯正歯科 クリニック 兵庫・芦屋医院

〒659-0028 兵庫県芦屋市打出小槌町10-6
MAIN STAGE Ashiya One-Block
阪神打出駅より徒歩5分/JR芦屋駅より徒歩10分/駐車場あり

午前

9:00-12:30

午後

14:00-18:00

休診日:日曜・祝日

各種お支払い方法に対応!

各種お支払い方法

※ 保険治療や少額のお支払いにもご利用いただけます。

instagram

facebook