審美・美容歯科

お顔の形やお肌の色を考慮した治療

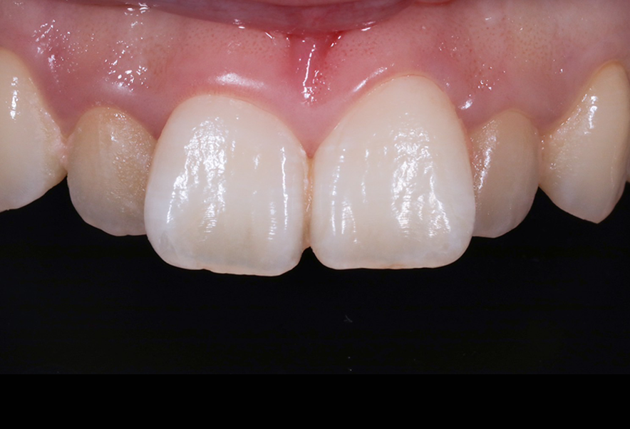
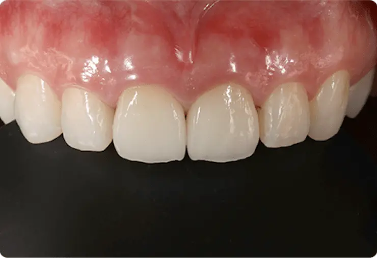
ファーストビュー

審美歯科から、
美容歯科へ。

歯を白くすることだけではなく、美しい歯並びやバランスのとれた歯肉などを含めたトータル的な「理想の美しさ」をめざします。ご要望(セラミックの色、デザイン等)を伺い噛み合わせが許す限り、患者様に一番似合うお口元を提供いたします。

こんな症状はありませんか?

  • 歯の色が気になる
  • 銀歯が目立つ
  • 歯茎の形、色をキレイにしたい
  • 金属アレルギーが心配

セラミック治療とは?

セラミック治療

天然歯のように白く自然に。

欠けた歯をきれいにしたり、前歯の並びを整えたり、銀歯を天然歯のように白くしたりなどをセラミックという素材を使って行う治療法です。セラミックの素材は、洗面所やお皿などに使われている陶器と同じ素材で作られています。

セラミック治療のメリット

  • 天然歯に近い美しさ

     セラミックは微妙な色調の再現が可能で、天然歯に近い透明感のある自然な美しさを長く保つことができる素材です。

  • 金属アレルギーがある方も安心

    金属素材が原因のアレルギーの心配がありません。健康面でのリスクを抱えることなく美しさと強度のメリットが大きい素材です。

  • 質の高い治療

    高精度の口腔内スキャナーを使用して精密な型取りを行い、自然により美しく仕上げます。

  • 歯も歯肉も美しく

    適切なケアをすれば経年劣化による変色の心配がほとんどありません。また金属特有の歯茎の黒ずみなどの心配もありません。

  • 抜群の強度

    非常に強度が高く、どの部位にも装着できます。食いしばりや噛み合わせが強い方にはより強度の高いジルコニアをご提案します。

  • むし歯の再発リスクが少ない

    セラミックは温度変化などによる影響を受けにくく変形が起こらないため、細菌が溜まる原因となる隙間・段差が生じません。

当院の審美・美容歯科の特徴

  • お顔に合わせた正確な治療

    お顔の形、肌の色に合わせて<br>シミュレーション

    お顔の形、肌の色に合わせて
    シミュレーション

    お顔の3Dデータを作成し、顔の形状や咬合の状態を正確に把握します。前歯の被せ物やシュミレーションができるため、イメージ画像からキレイになった治療後の姿を想像していただけます。当院では、様々な技術を用いて患者様のお顔に合わせた正確な治療を行っています。

  • 9個のカメラと6つのセンサーで<br>お顔を型取り

    9個のカメラと6つのセンサーで
    お顔を型取り

    9個のカメラと6つのセンサーを搭載したスキャナーでフェイスデータを撮影し、0.5秒という速さでお顔の型取りを行います。

  • 口腔内スキャナーを使って<br>お口の型取り

    口腔内スキャナーを使って
    お口の型取り

    従来の歯型取りに使う「印象材(いんしょうざい:粘土のようなもの)」を使わずに、光学3Dスキャナーでお口の中をスキャンして型取りを行います。従来の型取りと比べて誤差がなく、非常に精度が高い補綴物が製作できます。

  • お顔の3Dデータを元に<br>補綴物の完成イメージを共有

    お顔の3Dデータを元に
    補綴物の完成イメージを共有

    ご自身のお顔の3Dデータを元にカウンセリングを行うため、治療後のイメージがよりわかりやすくなります。技工の段階でも平面だけでなく3Dデータも使う事で、自然で美しい見た目に仕上げることができます。

  • 歯科技工士による<br>オーダーメイドの補綴物

    歯科技工士による
    オーダーメイドの補綴物

    当院では、専門の歯科技工士が患者様の歯の色味などを丁寧に確認し、高品質な補綴物を患者様ひとりひとりに合わせてオーダーメイドで製作いたします。

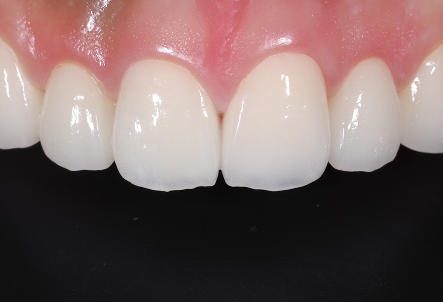
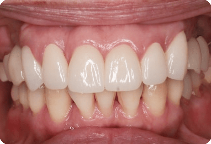
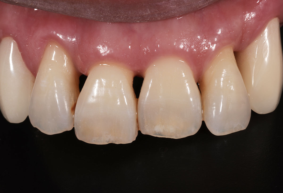
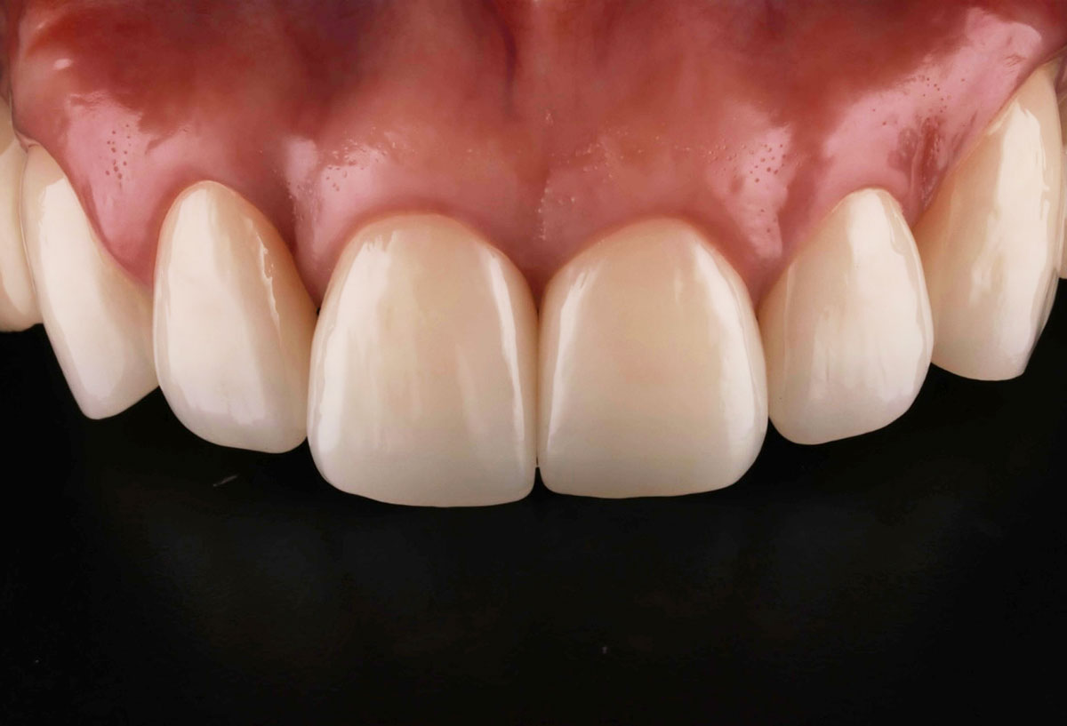
症例

Before

before

After

after

歯茎が下がってしまった隙間を綺麗に

Before

before

After

after

インプラント骨造成

Before

before

After

after

矯正をせずに被せ物で短期間で前歯の並びを綺麗に

当院で取り扱っている素材

素材

  • ダイレクトボンディング

    ダイレクトボンディング
  • ジルコニアセラミック

    ジルコニアセラミック

説明

  • セラミックと樹脂の混合物を直接歯に盛りつけて接着し、歯の形を作り上げる治療

  • 歯の土台に耐久性に優れたジルコニアを使用し、表面を審美性に優れたセラミックで覆う治療

長所

  • ・自然な見た目に仕上がる
    ・歯を削る量が少なくすむ
    ・短時間で治療できる
    ・金属アレルギーの心配がない

  • ・透明感のある美しい仕上がりになる
    ・強度・耐久性が高く奥歯にも使用可能
    ・むし歯の再発リスクが少ない
    ・金属アレルギーの心配がない

短所

  • ・耐久性に限界がある
    ・経年劣化による変色のリスクがある
    ・欠損範囲が大きい場合は適応外

  • 天然の歯より硬いため、噛む力によっては周囲の歯や咬み合う歯を痛めることがある

耐久性

  • 強い衝撃が加わったり接着箇所が劣化すると脱落、破折のリスクがある

  • セラミックの中でも最大の強度と耐久性を持ち、人工ダイヤモンドと言われている

審美性

  • 天然歯と馴染みやすく、透明感があり、自然な仕上がりに再現できる

  • セラミックを被せているため透明感のある美しい仕上がり。土台のジルコニアは遮蔽効果があり、変色歯にも適している

費用

  • 保険適用外の自由診療
    被せ物よりはコストを抑えられる

  • 保険適用外の自由診療

よくある質問

セラミックの歯はどのくらいの期間使用できるのでしょうか?

セラミックは丈夫ですので基本的には長持ちする素材ですが、前歯や奥歯、咬む力の強さ、歯ぎしりや食いしばりの有無などによっても寿命が異なります。
強い力が集中すると割れたり欠けたりする恐れもあるため、当院では破折リスクが高いケースには⾦属をも超えたダイヤモンドに近い強度を持つセラミック素材であるジルコニアを使用してリスクを軽減させています。
歯ぎしりや食いしばりが特に強い方はナイトガードのご利用をおすすめしております。

治療をした歯だけで見た目が不自然になるようなことはありませんか?

当院では、歯の色だけでなくお顔のデジタルデータを元に患者様に1番ふさわしい口元をお作りいたします。
また、本物の歯のように見せるには、歯の色味だけ合わせれば良いわけではありません。患者様の歯の質感、表面の凹凸感、透明感や歯ぐきの境目の微妙な色味なども再現し、残った歯との調和するようにいたします。
患者様のご要望に合わせた微調整にも対応いたします。ぜひ安心してご相談ください。

セラミックはタバコによる着色や変色がありますか?

オールセラミックの場合は、喫煙によるセラミック自体の変色はありません。
ただ、セラミックの表面が乾燥していると、タバコのヤニは着色してしまうケースもあります。
日々の歯磨きをきちんとして、定期的に歯科医院でのクリーニングを行っていれば基本的には問題はありません。

前歯の治療中は歯が無い状態になるのでしょうか?

患者様の歯になるべく近く、違和感のない仮歯をお作りしますので、歯が無くなる心配はありません。

なないろ歯科・こども矯正歯科 クリニック 兵庫・芦屋医院

〒659-0028 兵庫県芦屋市打出小槌町10-6
MAIN STAGE Ashiya One-Block
阪神打出駅より徒歩5分/JR芦屋駅より徒歩10分/駐車場あり

午前

9:00-12:30

午後

14:00-18:00

休診日:日曜・祝日

各種お支払い方法に対応!

各種お支払い方法

※ 保険治療や少額のお支払いにもご利用いただけます。

instagram

facebook