精密根管治療

抜歯を進められた症例にも対応します

ファーストビュー

生まれ持った歯に
勝るものはありません。

当院では、簡単に歯を抜いてしまうのではなく「患者様ご自身の歯を出来る限り残し・保存することが大切である」という考えで治療を行っております。深いむし歯などで感染した神経を取り除く根管治療は歯の基礎工事であり、歯の寿命に直結する最も重要な治療です。少しでも長く歯を残したい方は、ぜひ当院の精密根管治療をご検討ください。

こんな症状はありませんか?

  • インプラントを検討しているが
    歯を残したい
  • 通っている歯医者に
    抜歯をすすめられている
  • 抜歯を検討していたが
    やはり抜きたくない
  • 歯茎に膿がでている

精密根管治療とは?

精密根管治療とは、保険治療の根管治療よりも高度な術前検査・術中防菌・精密処置を施すことで、術後のむし歯再発リスクの徹底低減を図る非常に有効な治療です。保険適応外の治療のため、使う道具や薬剤に最先端のものを使うことができます。

  • 歯を残せる

    「CT」や「マイクロスコープ」を使用して、目では見えない部分まで確認しながら治療を行うので、複雑な根管内もしっかり把握して治療を進めることができます。

  • 治療回数を少なく

    予後が良好な根管治療を行うためには、根管の無菌化が重要です。治療回数をなるべく減らすことで、根管内の感染のリスクを減らすことができ、治療後の治癒率が高くなります。

  • 再発しにくい

    精密根管治療では細菌を新たに入り込ませない環境を徹底し、精度の高い治療を行いますので再発のリスクを低減できます。

従来の保険診療と
当院の精密根管治療の違い

治療方法

従来の保険の根管治療

当院の精密根管治療(自費診療)

検査

ほとんどがレントゲンのみ

全てにCTを使用

ラバーダムの使用

基本的に×または△

治療器具

ステンレスファイル
※複雑な根の形に沿って曲がらないため、精密な治療が難しい

ニッケルチタンファイル
※元々の根の形を変えずに先端まで細菌感染した部分を確実に取り除くことができる

マイクロスコープの使用

基本的に×または△

1回
(症状が悪いケースは2回になることがあります)

来院回数

多い

少ない

根管充填材

ガッタパーチャ(植物由来のゴム)
※殺菌作用がなく、封鎖性が弱いため再発リスクが高い

MTAや生体バイオセラミックス
※殺菌作用があり、歯や骨の再生をする作用を持つため再発のリスクが低い

精密根管治療の注意点

  • 症例によっては抜歯を避けられないこともあります。
  • 治療後に痛みやしみる感覚を伴うことがあります。
  • 保険が適用できないので、自費診療となります。

当院の保険の根管治療も上記とは異なり、
より再発のリスクを低減することにこだわった治療をおこなっています。
詳しくは一般診療ページをご覧ください。

当院の精密根管治療の特徴

  • 高い技術力と安心の実績

    年間280症例の<br>精密根管治療の実績

    年間280症例の
    精密根管治療の実績

    高い技術力に自信があります。UCLAの卒後研修プログラムを終了している理事長と、年間約280症例の精密根管治療を行っている経験豊富な歯科医師が治療を担当いたします。他院で抜歯を進められた症例にも対応いたします。

  • 丁寧なカウンセリング

    丁寧なカウンセリング

    精密検査の結果からどのような治療が必要かを根拠を交えて詳しくご説明いたします。治療方針についてご理解とご納得をいただいてから実際の治療へと進んでまいります。

  • 歯科用CTでの細かい診査・診断

    歯科用CTでの細かい診査・診断

    根管の本数や形は人それぞれ違い、とても複雑な形状をしています。CTを使って根管の構造と病巣の広がりを立体画像で正確に把握し治療を進めていきます。

  • マイクロスコープの使用

    マイクロスコープの使用

    20倍まで拡大できるマイクロスコープを使用して処置を行います。裸眼では発見できない細かい部分も確認できるので、汚染部位の削り残しを低減します。

  • 限りなく無菌に近い状態

    限りなく無菌に近い状態

    お口の中には、様々な細菌が存在します。
    そのためラバーダムというバリアシートで歯を隔離し、唾液と一緒に細菌が流れ込むことを防ぎ、限りなく無菌に近い状態で治療を行います。

  • MTAセメントの使用

    MTAセメントの使用

    硬化時に膨張する作用があります。根管内を隅々までしっかりと塞ぐことができるので、細菌が侵入する隙間ができず、再感染しにくくなります。また、高い殺菌力があり、歯の再生を促す効果もあります。

  • 治療後も再発させない精密補綴

    治療後も再発させない精密補綴

    細菌は歯と被せ物のわずかな隙間から侵入し、歯を内部から汚染していきます。精密根管治療後は、歯と被せ物の隙間・段差をなくす精密補綴(被せ物)で根管の再感染やむし歯の再発を防ぎます。

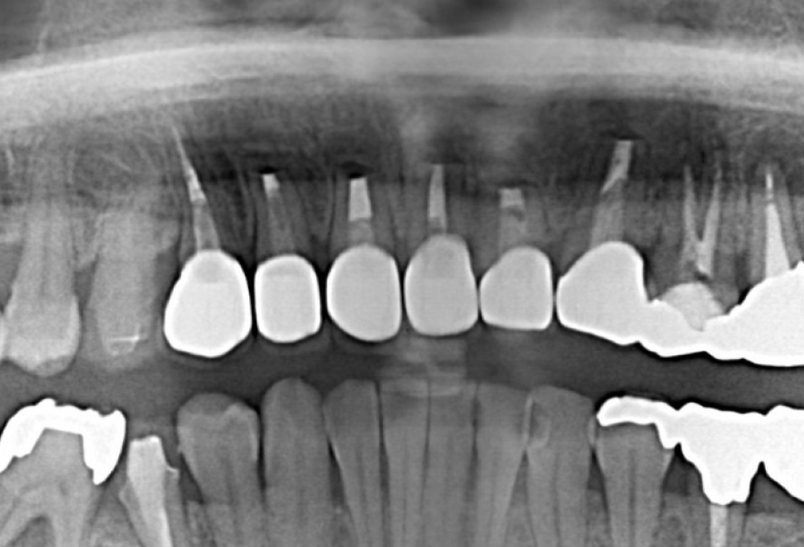
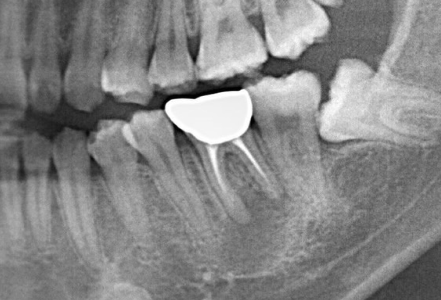
症例

Before

before

After

after

他院で抜歯と診断された歯の精密根管治療

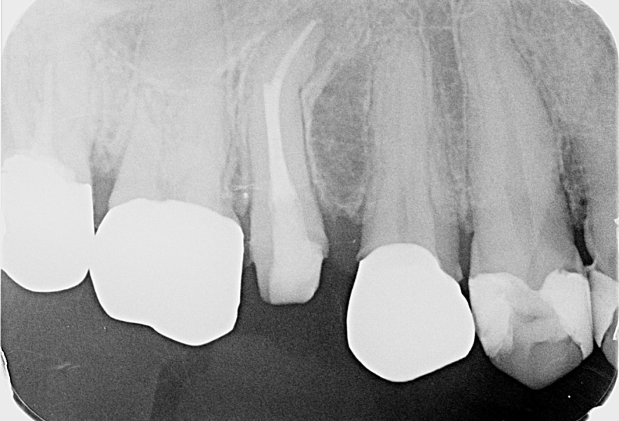
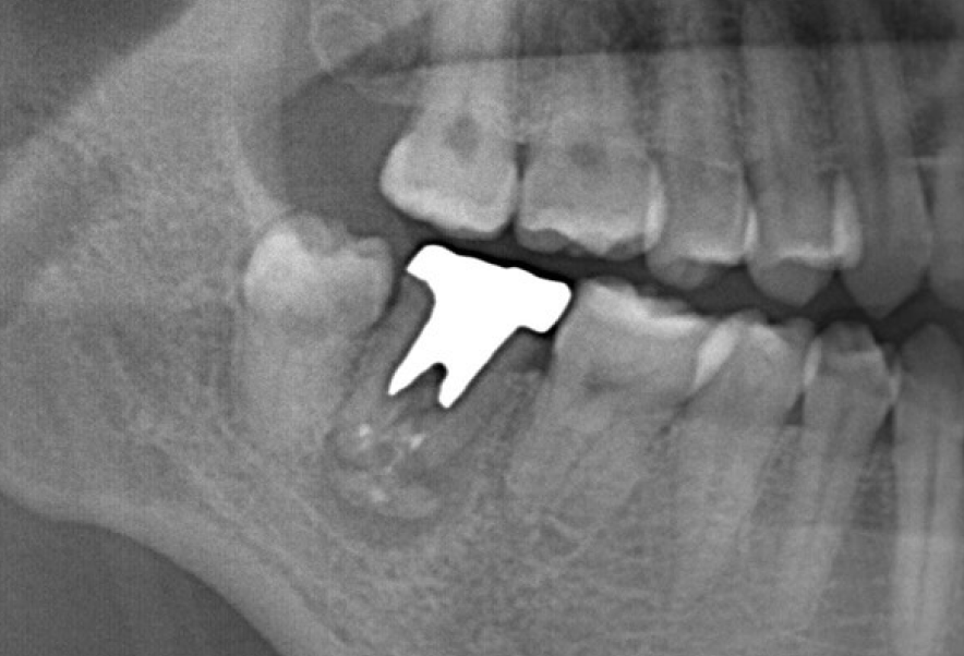
Before

before

After

after

他院で根管治療後、膿んできた歯の再治療

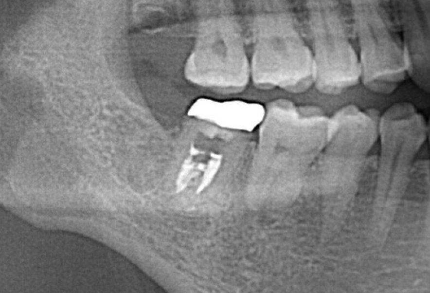
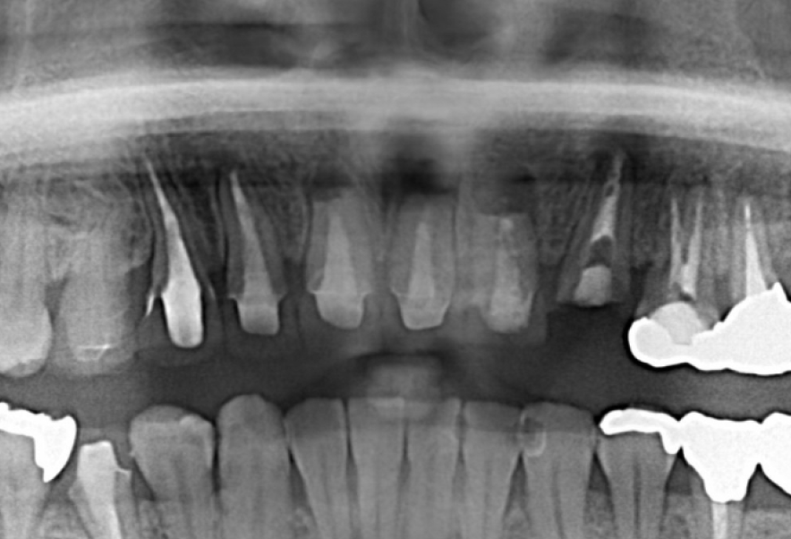
Before

before

After

after

他院で保険外根管治療・歯根端切除手術をしセラミックを装着後
すぐ膿んできた歯の再治療

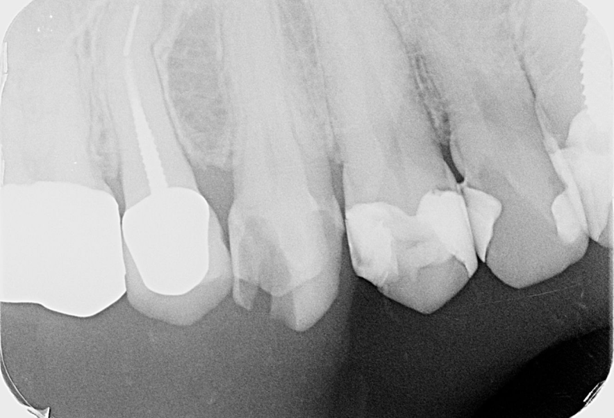
Before

before

After

after

他院で根管治療後自費補綴を装着、膿んできた歯の再治療 

精密根管治療の流れ

step1
<- title

ラバーダムの準備

歯質がなくなったところから唾液が入らないように壁(隔壁)をつくり、ラバーダムがかけます。

step2
<- title

汚染組織の除去

マイクロスコープで根管内を確認しながら、専用の清掃器具で丁寧に細菌感染した歯髄を除去します。

step3
<- title

根管形成

汚染物質や膿が取り除けたら複雑な形をしている根管内を整えます。再治療の場合は以前の治療で使った詰め物の除去を行います。

step4
<- title

洗浄・除菌

根管の内部を専用の薬液で洗浄・消毒します。

step5
<- title

薬剤の充填

MTAセメントを根管内に詰めて封鎖し、術後の細菌侵入・増殖を抑制します。

step6
<- title

土台の構築・被せ物の装着

出来上がった土台を取り付け、被せ物の形成を行い、型取りをします。出来上がった被せ物を噛み合わせを見ながら調整します。問題がなければ、以降は定期的なメンテナンスにて経過を観察します。

費用

臼歯

  • ジルコニア(ステイン)Cr

    110,000円(税込)

  • ジルコニア(ステイン)In

    66,000円(税込)

  • ジルコニア(カムネッツ)Cr・On・In

    38,500円(税込)

前歯

  • ジルコニア(フルレアリング)仮歯込み

    187,000円(税込)

  • ダイレクトボンディング1窩洞隣接・咬合面・部位問わず

    33,000円(税込)

  • MTA覆髄1歯

    55,000円(税込)

  • 自費根管治療(MTAシーラー使用)補綴費別途

    88,000円(税込)

各種お支払い方法に対応!

各種お支払い方法

※ 保険治療や少額のお支払いにもご利用いただけます。

よくある質問

神経の治療は痛いですか? 治療後の痛みはありますか?

根管治療中は神経が取れていればほとんど痛みはありません。神経を取る器具(ファイル)が根の先に到達するときに小さな痛みを感じることがありますが、麻酔をすることでそうした小さな痛みも完全になくすことができます。
ただ、神経の炎症がひどい場合は麻酔を行っていても痛みを感じる場合があり、治療後も一時的に痛みや腫れが出る可能性があります。

根管治療は何回くらい通院が必要ですか?

当院では通常1回で根管治療が完了します。(症状が悪いケースは2回になることがあります。)
治療時間をかけるため、40分~2時間程度かかります。(根の本数や形態の複雑度によって変わります)

根管治療した歯でも長く使えますか?

マイクロスコープを用いて歯を削る量を最小限にし、健康な部分を残す治療を行い、限りなく無菌に近い状態で治療を行いますので通常の根管治療をした歯よりも長くお使いいただけます。加えて、精密で耐久性に優れた補綴物(被せ物や詰め物)で再発のリスクを大幅に下げることが出来ます。
治歯を長持ちさせるには、治療が終了してからも定期的なメンテナンスを受けてお口全体の健康を維持をすることが重要です。

他院で根にヒビがあり抜歯だと言われました。残すことはできますか?

歯にヒビが入っている場合、歯のどの位置にヒビが入っているかで歯を残せるかを判断します。
ヒビのはいった場所や割れ方などにより、歯を残すことが出来る場合も多くございますので、一度ご相談ください。

なないろ歯科・こども矯正歯科 クリニック 兵庫・芦屋医院

〒659-0028 兵庫県芦屋市打出小槌町10-6
MAIN STAGE Ashiya One-Block
阪神打出駅より徒歩5分/JR芦屋駅より徒歩10分/駐車場あり

午前

9:00-12:30

午後

14:00-18:00

休診日:日曜・祝日

各種お支払い方法に対応!

各種お支払い方法

※ 保険治療や少額のお支払いにもご利用いただけます。

instagram

facebook