一般歯科(むし歯・歯周病)

いかに健全な歯質を残すことができるか

ファーストビュー

大切な歯を
できるだけ残します。

むし歯治療は『いかに健全な歯質を残すことができるか』が歯の寿命に大きく関わってきます。当院では、削る部分を最低限にする治療を行い、今ある不快を取り除くだけではなく、口の中全体のことを考え、再発しないように原因を探り、生活習慣の見直しを一緒に考えます。

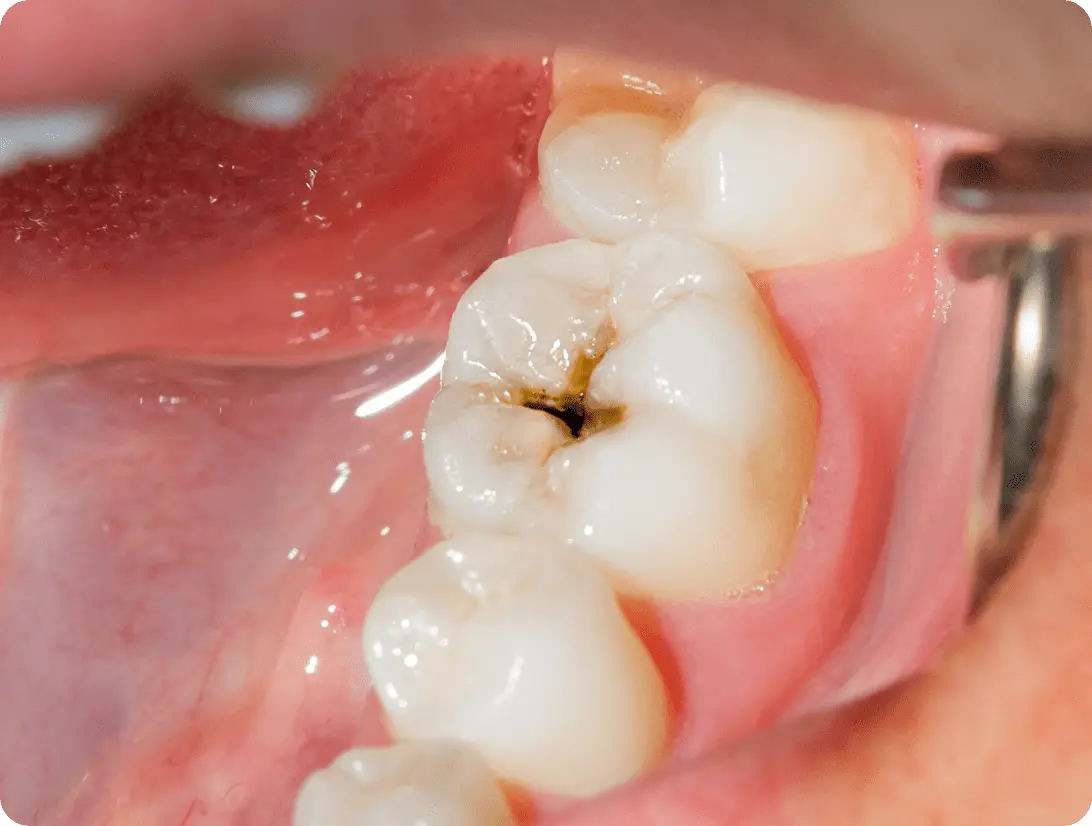
むし歯治療

むし歯治療

むし歯の原因

むし歯とは、むし歯菌が出す酸により歯が溶かされる病気です。定期検診で早期発見、予防することが大切です。

・酸を作る細菌(主にミュータンス菌)
・酸にとけやすい歯の質(酸への抵抗力)
・細菌のエサとなる糖分(主に砂糖)
この3つの好ましくない条件が重なりあい時間が経過することで発生します。

  • C1 軽度

    C1 軽度

    歯の表面に穴は開いていますが、自覚症状はほとんどありません。

  • C2 中度

    C2 中度

    象牙質にまでむし歯が到達した段階し、温かい・冷たいものがしみる状態です。

  • C3 重度

    C3 重度

    歯の神経まで到達している状態です。強い痛みが続きます。

  • C4 最重度

    C4 最重度

    歯の上部(歯冠)が失われ、歯髄が死んでいるため基本的に痛みを感じません。

当院のむし歯治療の流れ

step1
<- title

カウンセリング

どのくらいのお痛みか、いつ頃から痛み出したか、そのほかにお悩みや不安なことがあればお気軽にご相談下さい。

step2
<- title

診査・診断

お口の中の診査、レントゲン撮影を行います。
この検査に基づいて原因を洗い出し、最適な治療方法の検討いたします。

step3
<- title

治療計画のご説明

検査の結果からその歯の状況、治療の方針についてご説明いたします。ご自身のお口の中の状態やリスクを理解していただき、ご相談の上で治療方針を決定いたします。

step4
<- title

治療開始

方針が決定し、患者様にご納得いただきましたら、むし歯の治療を開始いたします。

できるだけ痛みをなくすために

痛みがを軽減する工夫

痛みがを軽減する工夫

・表面麻酔と細い注射針を使用

・体温程度に麻酔薬を温め、体内流入時の刺激を軽減

・ゆっくり一定の速度で麻酔薬を注入し、歯ぐきの圧迫による痛みを軽減

・麻酔が効いているかしっかり確認してから治療開始

保険治療と自費治療

保険診療は、病気で失われた機能を回復することが基本で、使用素材や治療法が制限されます。一方、自費診療は制限がなく、より高度な技術や素材を使い、機能性や審美性を追求した治療が可能です。

  • 保険のむし歯治療

    銀歯やプラスチック

    銀歯やプラスチック

    保険のむし歯治療は、レジンや金属など標準的な材料で低コストに対応可能です。ただし、美しさや耐久性に限りがあり、金属の場合はアレルギーのリスクがあります。

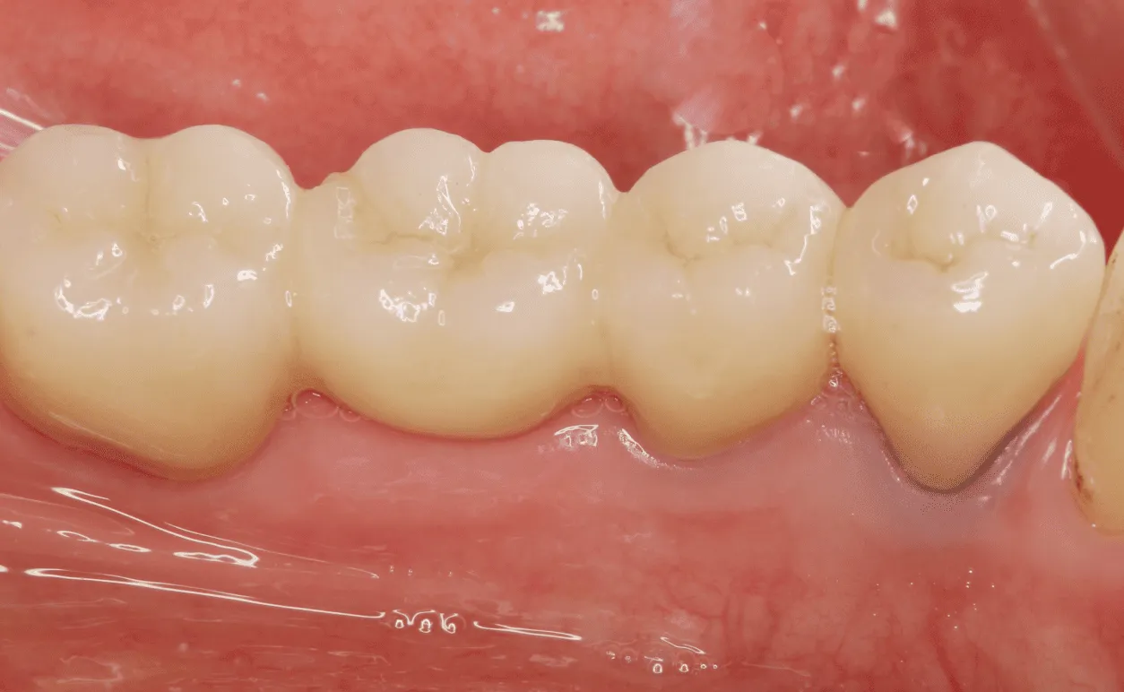
  • 自費のむし歯治療

    セラミック

    セラミック

    セラミックなど、見た目や機能に優れた材料が使えます。審美性にすぐれ、金属アレルギーのリスクもなく、長持ちしやすいのが特徴です。

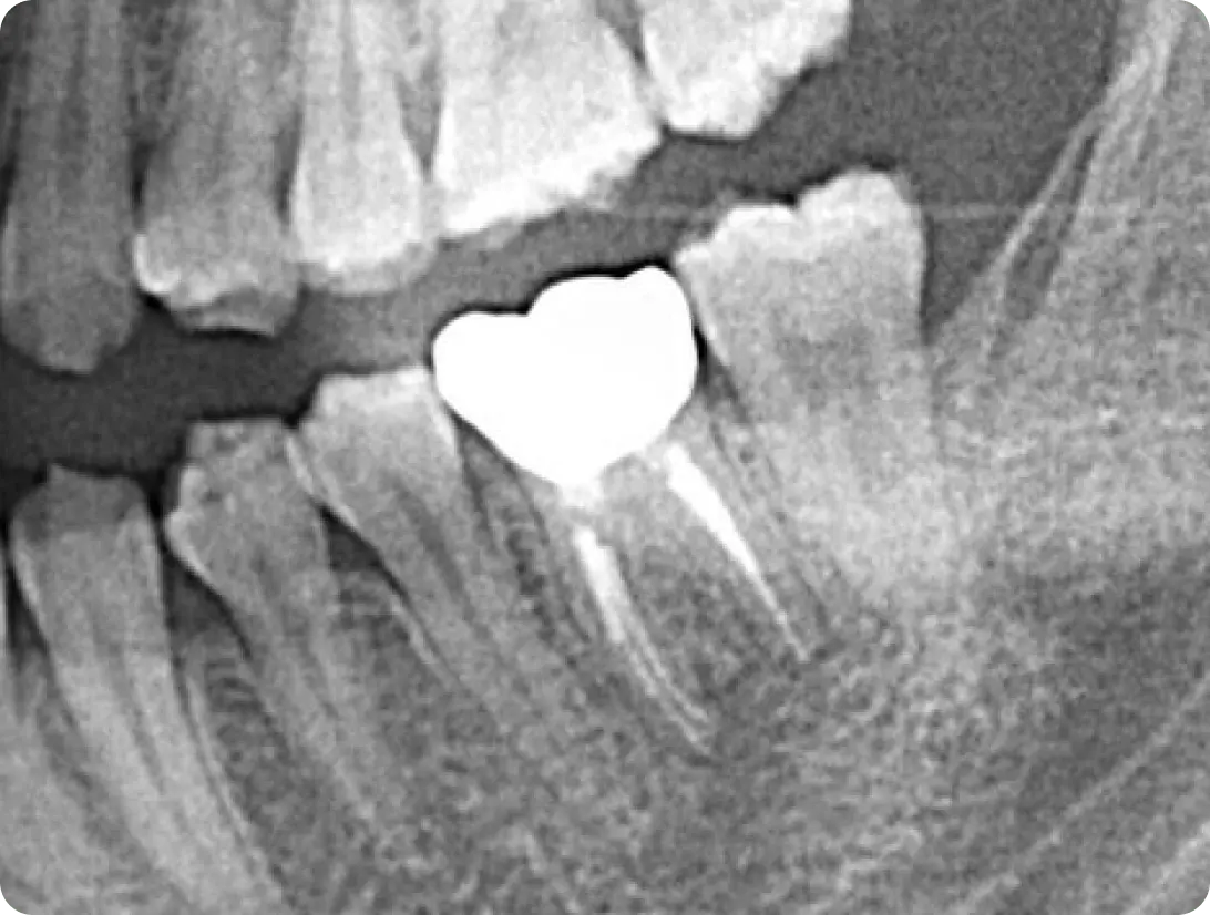
根管治療について

むし歯治療

根管治療にも
保険診療と自費診療があります。

保険診療は低コストで基本的な治療が受けられますが、使用する材料や精度に限界があるため、再発のリスクがあります。自費診療は高品質な材料と最新技術を使い、短期間で精度の高い治療が受けられます。費用はかかりますが長期的な視点で歯を守りたい方に適しています。

保険治療でも、世界基準と同等の治療。

保険治療でも、
世界基準と同等の治療。

一般的にはコストがかかるので保険治療では採用されない取り組みも、当院では保険、自費治療関係なく採用します。精度の高い治療を実現するマイクロスコープ、限りなく無菌の状態で治療を行うラバーダムなど、世界基準と同等レベルの治療を提供いたします。

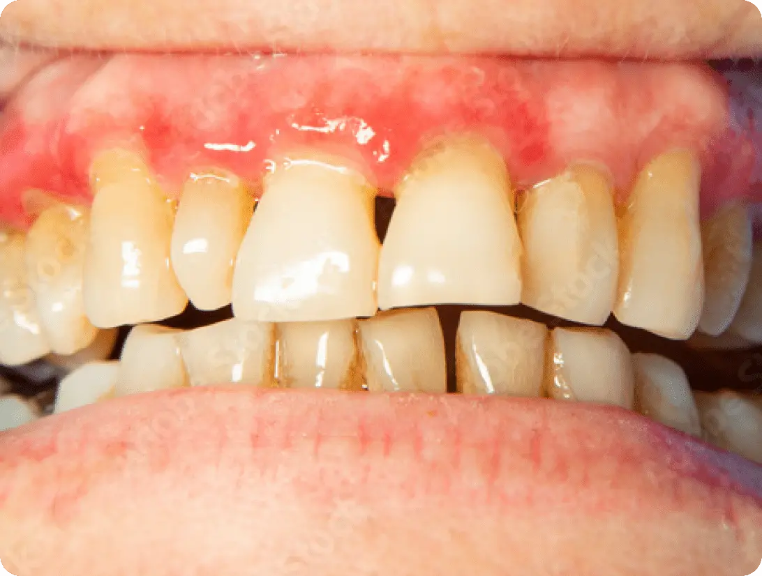
歯周病治療

むし歯治療

痛みのないまま静かに進行し
歯が失われる病気

日本人の歯を失う原因の第1位と言われる歯周病。30代以上の3人に2人が歯周病と言われています。歯肉が赤くなったり、腫れたりしますが痛みはほとんどの場合ありません。気づかないうちに進行し、歯を抜かなければならない場合もあります。手遅れになる前に早めの対処が必要です。

こんな症状はありませんか?

  • 歯を磨いた時に血が出る
  • 歯が揺れてきた
  • 口臭が気になる
  • 起床時に口がネバつく
  • タバコを吸う
  • 糖尿病にかかっている
  • 疲れると歯が痛む
  • 歯が長くなったような感じがする

歯周病の原因は?

  • プラーク

    プラーク

    プラーク(歯垢)は生きた細菌のかたまりで、1mgあたり1億個以上もの細菌が含まれます。その中の歯周病菌の毒素により、歯ぐきが腫れ、骨を溶かします。

  • 歯石

    歯石

    プラークを放置すると2週間ほどで歯石になり、歯みがきでは落とせなくなります。さらにポケットの奥深くへと細菌が進み、歯周病をさらに悪化させます。

  • 生活習慣

    生活習慣

    喫煙、ストレス、食習慣などが体を守る力(抵抗力)を低下させます。その結果歯周病細菌と戦う力が低下し、歯周病が悪化しやすい状態になります。

歯周病の原因は?

  • 患者さんが行うセルフケア

    患者さんが行うセルフケア

    毎日の歯磨きでプラークを取り除くことが歯周病の治療において最も重要です!歯肉の縁より上、目で見える部分の管理がご自身でできるようにしっかりサポートいたします。

  • 歯科医院でのプロケア

    歯科医院でのプロケア

    ご自身でセルフケアでアプローチできない歯肉の縁より下の部分は、私たち歯科医院医師や歯科衛生士がしっかりプラークや歯石を除去していきます。

放置すると危険!歯周病と全身疾患の関わり

放置すると危険!歯周病と全身疾患の関わり

歯周病は細菌に感染することで起こる感染症です。歯周病原菌が出す毒素が血液を通じて全身に回ることで、様々な全身疾患を引き起こすことがわかっています。また、歯周ポケットから血管内に入った歯周病菌が詰まった血管の中や、認知症の脳血管の中から見つかった報告もあります。中でも注目されているのが糖尿病との関係です。歯周病の治療をすると血糖のコントロールが改善することがわかっており、糖尿病診療ガイドラインにも歯周病との関連が記載されています。お口は体の入り口です。お口を健康にして全身の健康を守っていきましょう!

治療が終わったらメインテナンス

治療が終わったら
メインテナンス

歯周病はお口の中の細菌が大きな原因のため、この細菌を生涯除去し続けることが重要です。また歯周病は非常に再発しやすいため、毎日の歯磨きをはじめとした自己管理はもちろんのこと、定期的に歯科医院にてチェックやクリーニングを受けることで、健康な状態を維持することができます。

なないろ歯科・こども矯正歯科 クリニック 兵庫・芦屋医院

〒659-0028 兵庫県芦屋市打出小槌町10-6
MAIN STAGE Ashiya One-Block
阪神打出駅より徒歩5分/JR芦屋駅より徒歩10分/駐車場あり

午前

9:00-12:30

午後

14:00-18:00

休診日:日曜・祝日

各種お支払い方法に対応!

各種お支払い方法

※ 保険治療や少額のお支払いにもご利用いただけます。

instagram

facebook