インプラント

まるで自分の歯のように噛めるインプラント治療

ファーストビュー

歯を失って、
あきらめていませんか?

失ってしまった大切な歯のかわりに働くインプラント。自分の歯のように使い心地がよいために、「第二の永久歯」と呼ばれることもあります。歯を失い食べられなかったものが、食べられるようになり、見た目を気にせず笑えるようになり、生活に豊かさを取り戻すことができます。

インプラントとは?

まるで自分の歯のように
しっかり噛むことができます

歯がなくなった部分のあごの骨にチタン製の人工の歯根を埋め込み、その上に人工の歯を取りつけて歯を失った部分を補補う治療法です。入れ歯やブリッジとは違い周囲の歯にかかる負担が少なく、ご自身の歯とほとんど同じように噛むことができます。

こんな方におすすめ

  • 歯を次々に
    失いたくない
  • 入れ歯が
    合わない
  • できるだけ歯を
    削りたくない
  • 食事をもっと
    楽しみたい

インプラント治療の効果

  • 食事を楽しめる

    入れ歯では味わえない歯ごたえのあるもの、栄養バランスのとれた様々なものを気にせず食べることができます。

  • 残った歯が長持ち

    左右でバランス良く咬むことができるので、残っている歯で無理に噛むことが無くなり、自分の歯も長持ちします

  • 外出や旅行が怖くない

    入れ歯のように取り外しをする面倒や不意に取れてしまう心配がなく、気軽に外出や旅行が楽しめます。

  • 発音が安定する

    お口の中での違和感が少なく、発音が安定するので会話が楽しめます。

  • 綺麗な口元に

    しっかりと噛めるので、お顔の筋肉も均等に動きます。その結果、頬のたるみやシワを防ぎ、健康的な印象が取り戻せます。

  • 健康に良い

    よく噛むことで消化吸収が良くなります。しっかり噛んでバランスよく食べることで血行が良くなり、免疫力の低下も防げます。

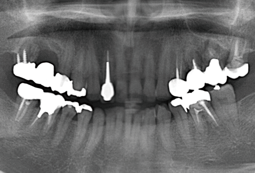
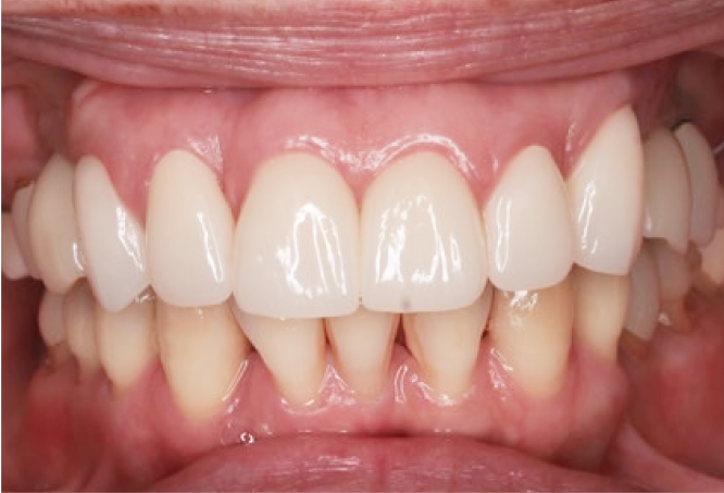
症例

Before

before

After

after

インプラント骨造成

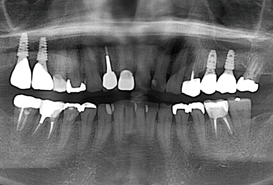
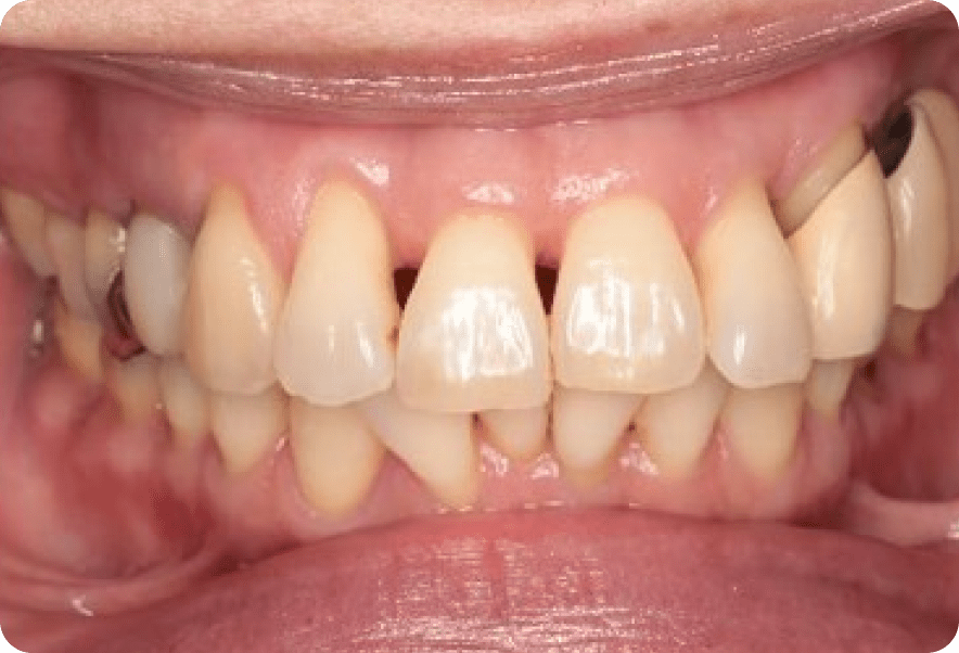
Before

before

After

after

インプラント骨造成

歯を失った場合の選択肢

治療方法

メリット

デメリット

ブリッジ
ブリッジ
  • 取り外す必要がない
  • 比較的短期間で治療が終わる
  • 保険適応内であれば治療費が比較的安価
  • 噛む感触が自分の歯と近い
  • 隣の歯を削る必要がある
  • 支える歯の負担が大きい
  • たくさんの歯がなかったり奥に支える歯が無いとできない
入れ歯
入れ歯
  • 保険適応内の義歯は比較的安価
  • 治療回数や期間が比較的短い
  • お手入れが比較的簡単
  • 取り外しが面倒
  • 噛む力が弱い
  • フックをかけた歯に負担がかかる
インプラント
インプラント
  • 隣の歯を削る必要がない
  • 取り外しの面倒や口の中の違和感がない
  • 残っている歯に対する負担が少ない
  • 保険適応外のため治療費が比較的高額
  • 治療期間が長い
  • 外科手術が必要
その他(歯の移植)
その他(歯の移植)
  • 自分の歯を使える
  • 健康な歯を傷つけることなく歯を再生できる
  • 歯根膜を残せるため、天然の歯と
    同様に噛んだ感覚などがわかる
  • 移植する歯の条件が限られている(移植歯と移植先の歯の形や大きさが一致していないと治療が受けられない)
  • 歯がうまく定着しないことがある

当院が採用している
インプラント治療

One Guide System

One Guide System
(ワンガイドシステム)

CTスキャンのデータと連携し、顎の骨の立体的なイメージをコンピュータで確認しながらインプラントを埋める位置を決定し、決めた位置に正確にインプラントを埋め込むことができるオステム社のシステムです。
傷口が最小限で済むので、患者さまの負担を最小限にすることが可能です。

ワンガイドシステムの安心ポイント

  • インプラントの手術を正確に安全に

    想定したインプラント埋入ポジションをお口の中で再現出来るシステムなので、術者の経験だけに頼らない確実な治療を可能にしています。

  • 傷口が最小限でお体への負担が少ない

    歯肉を切開することなく、インプラントが入る程度の小さなホールを開ける方法ですので、最小限の痛みと早い回復がのぞめます。

  • 手術時間を短くできる

    歯茎を切る、剥離、縫うというステップを省略することができ、埋め込み位置に迷うことがなく、手術時間を短縮することができます。

  • 治療期間も短くできる

    当院の導入しているオステム社インプラントは、施術からセラミックの人工歯を入れるまでの治療期間が相対的に短縮されます。

初診の流れ

step1
<- title

カウンセリング・検査

インプラント治療の概要、メリット・デメリット、インプラント以外の治療方法などを丁寧に説明いたします。お口の中の診査、レントゲンや歯科用CTの撮影を行いお口の中の状態を把握します。
※虫歯や歯周病がある場合は、インプラント治療の前に治療を行います

step2
<- title

3Dによる画像診断・治療計画

CTで撮影したデータをもとに立体的に顎の骨を確認し、顎の骨の内部にある神経、血管などの状態を詳しく確認して診断を行い、治療計画のご説明をいたします。

step3
<- title

インプラント埋め込みのシミュレーション

コンピュータの画面上でシミュレーションソフトを使い、立体的な顎の骨のイメージに合わせてインプラントの埋め込み場所を決定します。

step4
<- title

One Guideテンプレートの作製

CTのデータを元に患者様の顎の模型を作製し、それに合わせてインプラント埋め込みのガイドとなるOne Guideテンプレート(マウスピースのようなもの)を作製します。

step5
<- title

インプラント手術

One Guideテンプレートをお口の中に装着し、ガイドの位置に合わせてインプラントを埋める手術を行います。

他にもある安心ポイント

  • Point1
    丁寧なカウンセリング

    丁寧なカウンセリング

  • Point2
    衛生管理体制を徹底

    衛生管理体制を徹底

  • Point3
    歯茎を切らない<br>フラップレス手術対応

    歯茎を切らない
    フラップレス手術対応

  • Point4
    難症例にも<br>対応できる実績

    難症例にも
    対応できる実績

  • Point5
    歯を残せる努力をします

    歯を残せる努力をします

  • Point6
    設備が揃っている

    設備が揃っている

インプラントを長持ちさせるための
メインテナンス

  • 口腔内検診

    口腔内検診

    インプラントのぐらつきの有無や噛み合わせ、人工歯の緩み・亀裂の有無などをチェックし、お口全体の健康状態も含めて確認します。

  • レントゲン・CT撮影

    レントゲン・CT撮影

    インプラント周囲の骨に変化がないかを見るために定期的にレントゲン撮影を行います。

  • クリーニング

    クリーニング

    ご自身のお手入れだけでは、行き届かない部分は歯科衛生士によるプロケアが必要です。専用の器具で効率的に汚れや歯石を除去します。

  • ブラッシング指導

    ブラッシング指導

    清掃指導を行います。インプラント周りの歯肉はケアを怠るとインプラント周囲炎にかかるリスクがあり、日々のお手入れが重要です。

費用

  • インプラント

    495,000円(税込)

  • 骨造成・サイナスリフト・ソケットリフト軽度・中度・重度によって金額が異なります

    55,000〜330,000円(税込)

各種お支払い方法に対応!

各種お支払い方法

※ 保険治療や少額のお支払いにもご利用いただけます。

よくある質問

インプラント治療は誰でも受けることができますか?

高血圧症や心臓疾患等の循環器系疾患、喘息等の呼吸器系疾患、糖尿病や骨粗鬆症等の疾患、腎臓や肝臓の機能障害がある場合には注意が必要です。

また、現在服用されている薬によっては、インプラント治療が適さないこともあります。
インプラントを入れる部分に充分な骨が存在しない場合には、インプラント治療をおこなうことが困難です。インプラント埋入手術の前、あるいは埋入手術と同時に骨を造るための手術をおこなうことで、インプラント治療をおこなうことは可能ですが、患者さんの負担が増加します。

さらに、歯周病に罹患している患者さんや喫煙される患者さんにおいては、治療後のインプラントの残存率(寿命)が低いことが知られています。歯周病に罹患している場合は歯周病の治療を優先しておこない、喫煙されている場合は減煙あるいは禁煙してから、インプラント治療を受けることをお勧めします。

インプラント治療の治療期間は?

顎の骨にインプラントを埋めてから、インプラントに骨が結合するためには、一定の期間が必要です。
治療を開始から治療終了までの期間はインプラントの本数や骨の状態によって異なりますので、インプラント治療に入る前のカウンセリングで治療期間の目安も含めてしっかりご説明いたします。

インプラントはMRIやCTを撮っても大丈夫?

インプラント治療後でもMRIやCTの撮影は可能です。
しかし、インプラントの上部に磁石が付いた構造物が装着されている場合には、MRIの画像が乱れることがあるので注意が必要です。
また、チタンのインプラントが埋まっていることによって、特に頭部のCTの場合は画像診断に影響がでることがあります。
必ず撮影前にインプラントが入っていることを医療機関に伝え、ご不明点がある場合はお問い合せください。

インプラント治療終了後に起きる可能性のある問題は?

人工歯の破折(一部が欠ける)、脱落が起きることがあります。人工歯を固定しているスクリューの緩みが起きることがあります。
またインプラント周囲の感染(インプラント周囲粘膜炎あるいはインプラント周囲炎)が起きることがあります。インプラント周囲粘膜炎はインプラント周囲の粘膜に炎症がとどまった状態ですが、インプラント周囲炎はインプラント周囲の骨にまで炎症が起きて、骨の吸収が起こります。インプラント周囲炎はインプラントの喪失に繋がりますので注意が必要です。
これらの問題を予防するためには、ご自身でおこなう日常のお手入れが重要です。さらに、ご自身が治療部位を含めて日頃から口腔内の状況に関心を持ち、もし何か変わったことがある場合には、直ちに診察して対処することが重要です。
治療後の経過が順調な場合も、定期的なアフターメインテナンスを受けることを忘れないでください。

なないろ歯科・こども矯正歯科 クリニック 兵庫・芦屋医院

〒659-0028 兵庫県芦屋市打出小槌町10-6
MAIN STAGE Ashiya One-Block
阪神打出駅より徒歩5分/JR芦屋駅より徒歩10分/駐車場あり

午前

9:00-12:30

午後

14:00-18:00

休診日:日曜・祝日

各種お支払い方法に対応!

各種お支払い方法

※ 保険治療や少額のお支払いにもご利用いただけます。

instagram

facebook