おとな矯正

歯も全身も健やかに

ファーストビュー

何歳からでも、
遅すぎることはありません。

何歳になっても歯は動きます。年齢を理由にあきらめる必要はありません。
正確には、歯や歯茎、歯を支える顎の骨が良好な状態であれば何歳でも矯正治療を受けることが可能です。「自分は歯科矯正できるかわからない」という方は、無料カウンセリングを行っておりますので、まずは一度ご相談ください。

お悩みを放置してしまっていませんか

  • 歯並びが悪くて気になる
    (口を開けるのが嫌だ)
  • 食べ物がよく噛めない
  • 顎の関節が負担を感じている
  • 矯正装置は目立つから嫌だ
  • 健康な歯を抜くのは嫌だ
  • 矯正は時間がかかりそう…
  • 矯正したけど元に戻ってきてる…

当院で行う矯正の種類

当院の成人の矯正治療に使われる装置は、大きく分けて次の3つのタイプがあります。お一人お一人に合わせた治療計画や期間、矯正装置をご提案いたします。

  • インビザライン

    インビザライン

    ステップごとに形の異なるマウスピースに交換し、弱い力を継続的に加えて歯を目標の位置まで移動させる、痛みの少ない矯正方法を採用しています。また、当院ではインビザラインに関する講演を行った実績もございます。

  • インビザライン(iGOシステム)

    インビザライン(iGOシステム)

    インビザラインと同じ矯正方法ですが、移動範囲が全顎ではなく第一小臼歯間に限定されます。一部のかみ合わせを正常に戻したい、など歯並びの悪さが軽度の方の治療に適しています。

  • ワイヤー矯正

    ワイヤー矯正

    ブラケットと呼ばれる器具を装着し、歯を移動させる方法です。重度な方を含めて様々な歯並びの方に対応できる事がメリットですが、装置が目立つ、痛みを感じやすいなどのデメリットがあります。

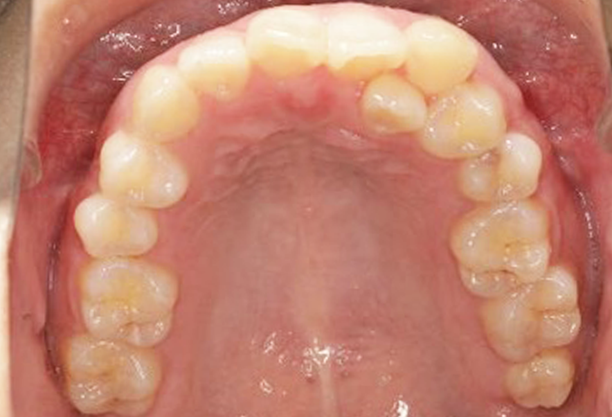
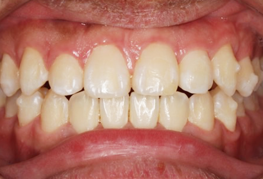
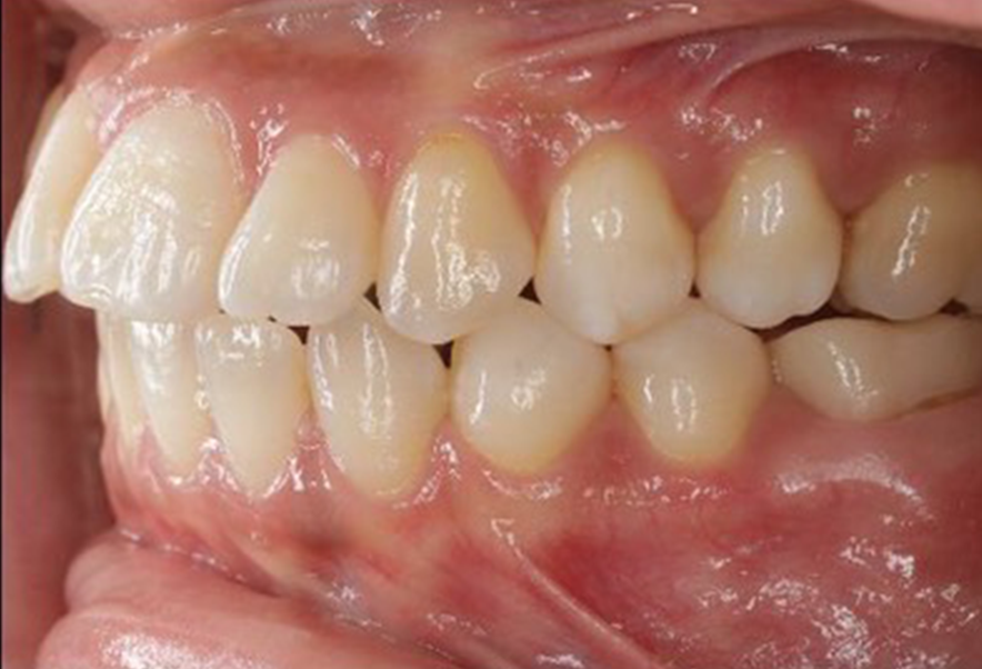
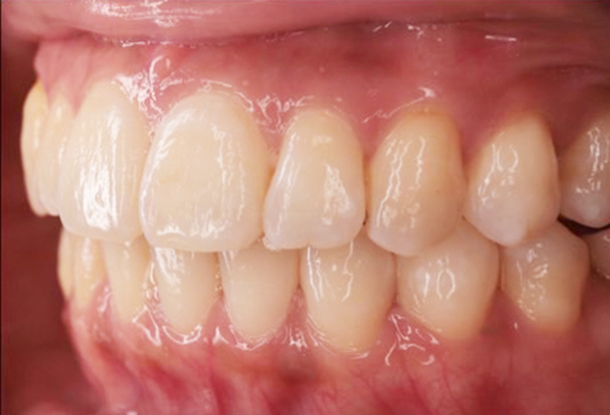
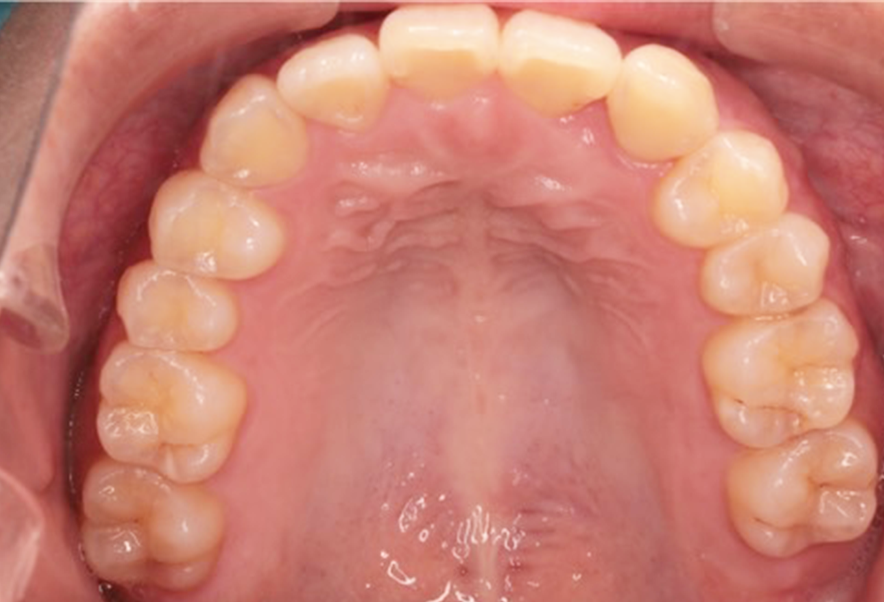
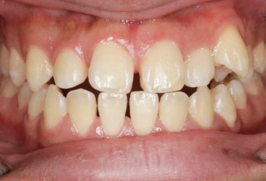
症例

Before

before

After

after

インビザラインと下顎6番インプラント

Before

before

After

after

インビザライン

Before

before

After

after

インビザライン

矯正治療のメリット

  • 歯も全身も健やかになる

    歯並びを矯正すると歯磨きがしやすくなるため、むし歯や歯周病のリスクが減り、全身の健康にもつながります。

  • よく噛めるようになる

    歯並びと咬み合わせを改善することで、今まで食べられなかったものも美味しく食べられるようになります。

  • 発音が改善する

    歯列矯正で歯並びを整えると空気が抜けにくくなり、発音しにくかったサ行やタ行がはっきり発音できるようになります。

  • 顎関節の不調が軽減

    噛み合わせが悪いと顎関節に負担がかかり「口が開きにくい・痛みを感じる」ことがあります。歯列矯正によりそれらの不調が軽減される場合があります。

  • 自信を持てる

    歯列矯正は外見だけでなく、心理的な面においても大きな変化をもたらします。口元のコンプレックスが解消されると自然と笑顔が増え、自信が持てるようになります。

  • 顔のバランスが良くなる

    咬み合わせが悪いと顎の位置の前後・左右のバランスが崩れてしまいます。歯列矯正でバランスが整うと、口元や横顔も整い、お顔の印象が変わります。

何歳からでも、遅くありません

何歳からでも、
遅くありません。

早く始めれば、その分早く正常で健康な噛み合わせが手に入ることは確かですが、歯列矯正は年齢を問わずいつはじめても遅くはありません。当院の患者様で70代で矯正を始められた方もいらっしゃいます。年齢のことは気になさらずご相談ください。

治療の流れ

step1
<- title

無料カウンセリング

トリートメントコーディネーターがお悩み、治療に関する疑問、希望される治療方法などをお聞かせいただき、治療方針、期間、費用等についてご説明します。不安なことがあれば何でもお聞きください。

step2
<- title

精密検査(クリンチェック)

レントゲン撮影、歯型とり、口の中の写真撮影、顔の写真撮影を行います。

step3
<- title

診断・治療計画の説明、お支払い

検査データを基に、現在の状態と治療方針について詳しくご説明します。ご理解とご納得をいただけましたら、治療を開始いたします。

※むし歯や歯周病がある場合はそちらの治療を優先して進める場合があります。

step4
<- title

矯正装置の製作

矯正装置を作るための歯型をとります。従来の印象材(粘土のようなもの)を使わずに、光学3Dスキャナーでお口の中をスキャンして型取りを行い、矯正装置を製作します。

step5
<- title

矯正治療開始

矯正装置を装着し、矯正治療を開始いたします。部分矯正で数か月、本格矯正で1~3年くらいの期間をかけ、無理なくしっかりと理想の位置まで歯を移動させます。矯正治療中は定期的ご来院いただき、経過観察や調整、クリーニングを行います。

step6
<- title

治療終了

かみ合わせの確認や、シミュレーション画像と実際の歯の動きの比較を行い、必要な場合は微調整を行います。インビザラインで微調整が必要な場合は、歯型のスキャニングを再度行い、マウスピースを作成して治療を継続いたします。

step7
<- title

治療後のメインテナンス(保定期間)

後戻りを防ぐために保定を行います。保定の期間は治療内容により異なりますが、一般的には矯正治療を行った期間と同じ期間は必要になります。きれいになった歯並びを良い状態で維持するために、矯正治療後も定期検査をおすすめしております。

費用

  • ワイヤー矯正

    990,000円(税込)

  • インビザライン矯正

    880,000円(税込)

  • 矯正検査費

    33,000円(税込)

各種お支払い方法に対応!

各種お支払い方法

※ 保険治療や少額のお支払いにもご利用いただけます。

よくある質問

歯並びが悪い状態を放置するとどうなりますか?

悪い歯並びや咬み合わせがあると、以下のような問題が起こる可能性があります
・むし歯や歯周病、歯の摩耗や破折などのトラブル
・顎関節症などの顎の不具合
・食べ物がうまく噛めないことで起こる胃腸の不調や、噛み合わせのバランスの悪さが引き起こす頭痛、肩こりなどの全身の不調
・見た目や自己意識の問題
現在の歯並びに慣れているため不都合を感じていないという方も多く見られますが、ご心配な方はぜひ相談にいらしてください。

矯正治療のデメリットを教えてください。

少しずつ顎や歯を動かすために、長期間の治療となります
基本的に保険が適用されず、自費診療(全額自己負担)となります。
装置を装着するため、痛みや圧迫感がありストレスとなる場合がある。
歯が生えるスペースが足りない、歯を動かす際に障害となるなどの場合は健康な歯を抜くことがあります。

メリット・デメリットご理解の上、矯正歯科治療を受けるかどうかお決めになることをおすすめいたします。

仕事があるので治療に通えるか心配です。

インビザライン矯正は従来のワイヤー矯正や他のマウスピース矯正と比べて通院頻度が少ないのが特徴ですので、お忙しい方も比較的予定が合わせやすいかと思います。
インビザライン矯正の通院頻度は治療開始直後は1~2ヶ月に1回程度、治療が軌道にのると2~3ヶ月に1回程度が一般的です。

矯正歯科治療は保険治療でできませんか?

一般に、特定の病気(顎変形症や唇顎口蓋裂など)による不正咬合の矯正歯科治療を除いて、矯正歯科治療は健康保険が適用できません。従って、治療費全額が患者さんの自己負担となってしまいます。
保険治療の適用である矯正治療は当院では対応できませんので、しかるべき医療機関へご紹介いたします。

なないろ歯科・こども矯正歯科 クリニック 兵庫・芦屋医院

〒659-0028 兵庫県芦屋市打出小槌町10-6
MAIN STAGE Ashiya One-Block
阪神打出駅より徒歩5分/JR芦屋駅より徒歩10分/駐車場あり

午前

9:00-12:30

午後

14:00-18:00

休診日:日曜・祝日

各種お支払い方法に対応!

各種お支払い方法

※ 保険治療や少額のお支払いにもご利用いただけます。

instagram

facebook