子ども矯正

あごの成長を正しい方向に誘導する

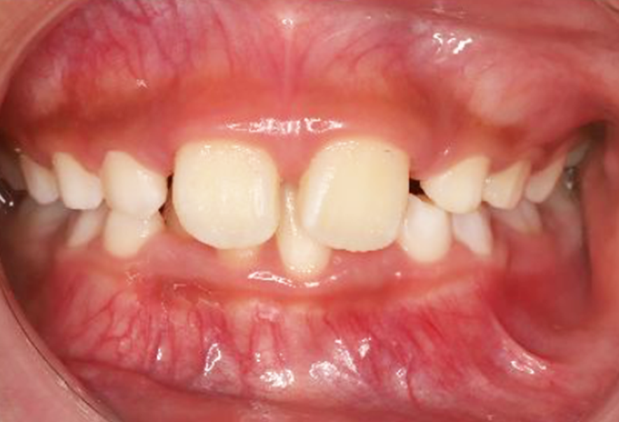
ファーストビュー

あごの成長を
正しく誘導する新しい矯正治療。

当院ではお子様の本来持っている成長能力を引き出し、口腔機能や咀嚼機能の改善を促す矯正を行っています。従来の金属製のブラケットやワイヤーを使用せず、取り外し可能なマウスピース型の矯正装置を使用します。一緒におロのまわりの筋肉トレーニングをすることで歯並びを悪くさせる「口の動かし方の習慣」を改善させます。

イラスト

なんで矯正が必要?

歯並びが悪くなる原因は
顎が小さいから

あごが小さい理由は何でしょう?
それは、「口呼吸」「舌の癖」「飲み込みの癖」これらが大半を占めています。あごが充分に成長できないと、歯の並ぶスペースが足りないため、歯並びが悪くなるのです。

こんな症状ありませんか?

  • Point1
    いびき・歯ぎしり<br>きになる

    いびき・歯ぎしりが
    気になる

  • Point2
    おくちがポカンと<br>あいている

    おくちがポカンと
    あいている

  • Point3
    鼻詰まりが<br>なおらない

    鼻詰まりが
    なおらない

  • Point4
    口臭がきになる

    口臭がきになる

  • Point5
    乳歯なのに<br>歯並びが悪い

    乳歯なのに
    歯並びが悪い

  • Point6
    アレルギーがある

    アレルギーがある

お子様にこのような症状がある場合は、口周りの筋肉や顎の発育に何らかの問題がおきていることが考えられます。

歯並びに影響がでる可能性がありますのでお早めにご相談ください。

当院では、
MRC矯正を採用しています

お子様の歯並びと成長を支える、
取り外し可能な矯正装置—MRC矯正

MRC矯正

MRC矯正とは?

MRC矯正

悪習癖の原因を根本から取り除き、
健康なお口と良い歯並びに導く

取り外し可能なマウスピース型の矯正装置と口のまわりの筋肉トレーニングを行い、顎を正常に成長させる矯正方法です。成長期の早い段階からアプローチすることで正しい筋肉の使い方や噛み合わせが習慣となり、治療後に元の歯並びに戻ってしまう「後戻り」がほとんどありません。

歯並びが悪くなる
3つの原因

  • 呼吸

    呼吸

    習慣的に口が開いていると歯が前に出てきます。余計に口を閉じにくく悪循環に陥ります。また鼻腔が健康に成長せず、上顎の歯列が狭くなる可能性があります。

  • 舌の癖

    舌の癖

    口呼吸は顎と一緒に舌の位置も下がり、舌の力が常に下あごに加わり「受け口」になりやすくなります。正しく噛むことができず、顎が狭くなる可能性もあります。

  • 飲み込み方

    飲み込み方

    小さい頃から誤った飲み込み方(舌が前に押し出されるなど)を続けていると、歯に不必要な力が加わり、歯並びが悪くなることがあります。

それらの根本的な原因を
解決するための
2つのアプローチ

マウスピース矯正

取り外し可能なマウスピース

取り外し可能なマウスピース

1日1時間と就寝時に装着すればOK
(30分×2回でもOK)

アクティビティ

呼吸やお口のトレーニング

呼吸やお口のトレーニング

毎日 2分×2回

お子様の状態に合わせて

お子様の状態に合わせて

矯正装置の種類や治療期間など、
最善の矯正方法をご提案。

乳歯・永久歯が混合している、永久歯が生え揃っているなど、お口の状態によって最適な矯正装置の種類や治療期間が変わります。基本的にはMRC矯正を採用しておりますが、必要な場合は複数の矯正装置を併用するなど、お子様にあった矯正方法をご提案いたします。

全身の健康に大きなメリット

MRC矯正の本当の良さは、ただ悪い歯並びを良くすることだけではなく、全身の健康にも良い影響を及ぼすことが期待出来ることです。口呼吸が改善することで免疫力が上がり、アトピー性皮膚炎、ぜんそくの改善、睡眠時無呼吸症候群の予防にも効果があることが報告されています。

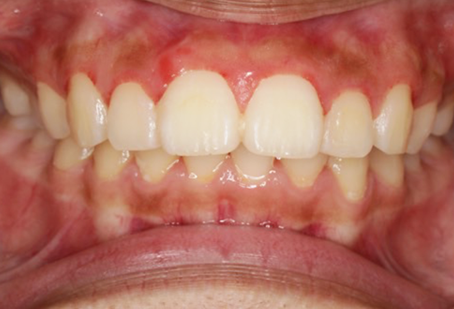
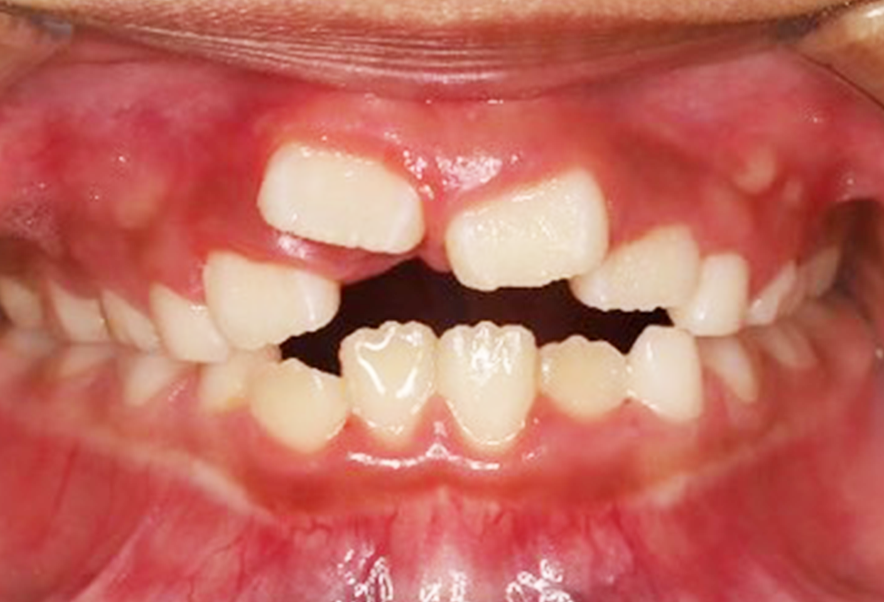
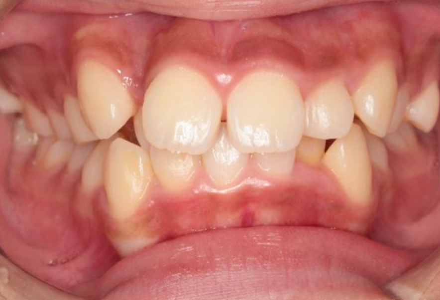
症例

Before

before

After

after

前歯の矯正

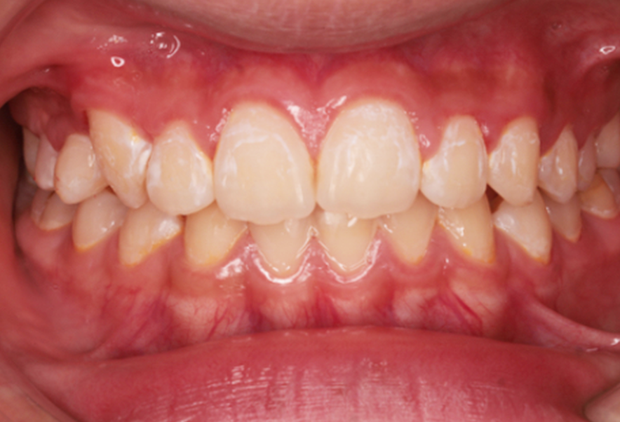
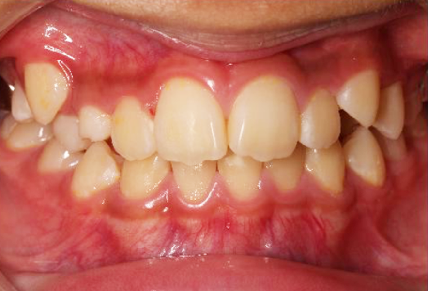
Before

before

After

after

永久歯に生え変わる前の矯正

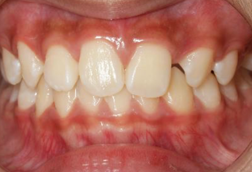
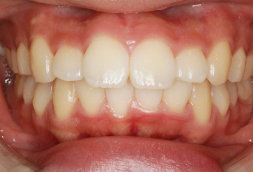
Before

before

After

after

歯並びの矯正

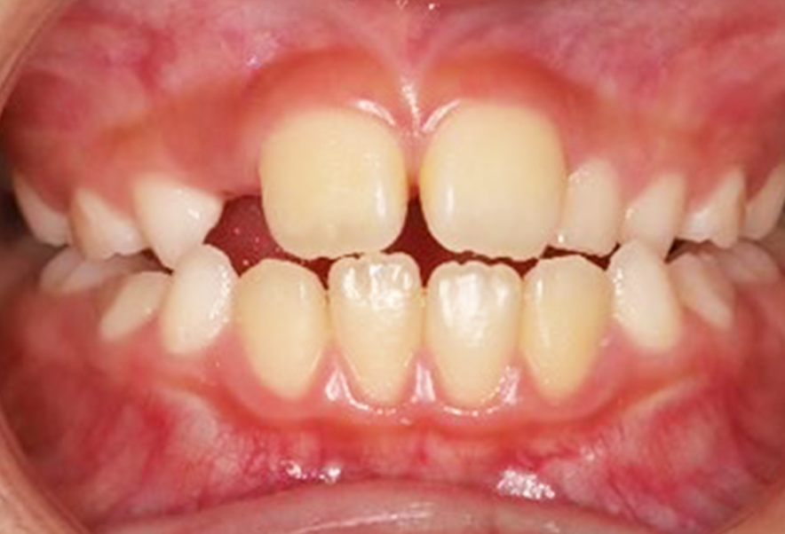
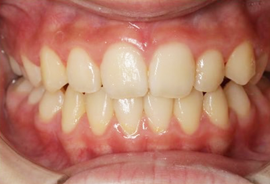
Before

before

After

after

噛み合わせの矯正

Before

before

After

after

生えてきた永久歯の矯正

治療の流れ

step1
<- title

カウンセリング

まずは、お口の中の診査をしその後生活習慣についてヒアリング・カウンセリングを行います。

step2
<- title

精密検査

口腔内写真撮影、顔貌写真撮影、レントゲン写真などの精密検査を行います。

step3
<- title

診断結果と治療計画の説明

検査結果をもとに今後の治療についてご説明いたします。
患者となるお子様と保護者の方の同意が得られましたら治療を開始します。
※むし歯がある場合は先にむし歯治療を行います。

step4
<- title

矯正治療スタート

マウスピースの型取り行い、出来上がったマウスピースを装着し慣らしていきます。

step5
<- title

アクティビティスタート

月に1度来院いただき、クリーニングと合わせてアクティビティを行います。(オンラインでトレーニングも可能)

学べるこども矯正

  • 外国人講師による英会話で<br>アクティビティ

    外国人講師による英会話で
    アクティビティ

    バラエティ豊かな遊びの要素を取り入れ、英語の指示を聞いて体を動かしたりします。コミュニケーションを通じて英語感覚を養うことができます。

なないろ歯科の矯正治療は習いごとのひとつ!

なないろ歯科の矯正治療は
習いごとのひとつ!

月に一度ほどの来院で、歯並びを良くするために大切なことをお伝えします。 また、歯並びが悪くなってしまった原因を解消するための、ご自宅でできる簡単な宿題もお出しします。勉強やスポーツのように、毎日続けていただくことが大切です。お子様、保護者の方のがんばりを、わたしたちがしっかりサポートいたします。

お母さんの声

イラスト

子どもに痛い思いをさせず
矯正できるのがうれしい!

マウスピースによってお口の筋力が上がって舌の位置を正しくすることで歯がきれいに並ぶ矯正があるなんて知りませんでした。
私自身、歯を抜いて矯正をしましたが、今は抜かないでも出来るので子どもに痛い思いをさせず矯正できるなんて嬉しい限りです。
毎月の歯医者でのお口のトレーニングも楽しくやっていてさせて良かったなと思います。

イラスト

習い事感覚で
毎回楽しく通えた!

治療をしに行くというより習い事感覚で通えて、子供も歯医者さんに行くのを毎回楽しみにしていました!大きくなったら始めてもいいかなと考えてはいましたが、子供の時に矯正をするメリットをわかりやすく説明してくださり、歯並びだけでなく顔つきも良くなって感謝しています。たくさん質問することもありましたが嫌な顔をせず毎回丁寧に教えてくださったのも安心して通えたポイントです。

イラスト

根本的な癖から
改善してくれるのが魅力的!

正直、色々な矯正歯科に話を聞きにいきました。
なないろさんの矯正は歯並びを改善する矯正ではなく、お口のトレーニングなども一緒にしてくれ歯並びが悪くなった根本的な癖から改善してくれることが魅力的でした。こどもがすごく楽しそうに通っており、矯正を始める時も自らもここに通いたいと言ったので安心して矯正を始めることができました。下の子もまだ矯正はしてませんが、トレーニングだけ一緒にさせてもらってます。

費用

  • こども矯正

    715,000円(税込)

  • 矯正検査費

    33,000円(税込)

各種お支払い方法に対応!

各種お支払い方法

※ 保険治療や少額のお支払いにもご利用いただけます。

よくある質問

こども矯正はいつから始めたらいいですか?

お子様の成長やお口の中の状態によって変わりますが、矯正開始は6〜7歳まで、遅くとも9歳までに行うことをお勧めします。
健全な口腔機能の獲得という意味では早ければ早い方が有利といえます。

期間はどれくらい必要ですか?いつ頃終わりますか?

早く治療を開始できれば、3〜5年でバランスのとれた歯並びや口もとになり、お口の機能も改善されます。
永久歯が生え揃う小学校高学年から中学低学年までは、発育が正常に進んでいるか定期的に観察し、問題が見つかれば装置を再装着して治療を行う場合もあります。

矯正装置で虫歯ができやすくなりますか?

矯正装置のない歯よりはリスクは高くなりますが、口腔ケアをしっかりと行うことで予防できます。
また、マウスピースを装着したら水以外の飲食をせず、装着する前は歯磨きをすることが大切です。
歯並びが改善されてくると歯ブラシが当てやすくなり虫歯ができにくくなりますよ!

MRC矯正による痛みはありますか?

痛みはほとんどありませんが、装着時から1週間くらいは痛みが伴う方も時々いらっしゃいます。
そのような場合でも必ず慣れて痛みはなくなりますのでご安心ください。

なないろ歯科・こども矯正歯科 クリニック 兵庫・芦屋医院

〒659-0028 兵庫県芦屋市打出小槌町10-6
MAIN STAGE Ashiya One-Block
阪神打出駅より徒歩5分/JR芦屋駅より徒歩10分/駐車場あり

午前

9:00-12:30

午後

14:00-18:00

休診日:日曜・祝日

各種お支払い方法に対応!

各種お支払い方法

※ 保険治療や少額のお支払いにもご利用いただけます。

instagram

facebook